Ct Anatomy Of Hepatobiliary . See annotated images of normal and abnormal anatomy, pathology, and pacs viewer. learn how to evaluate the liver, gallbladder, bile ducts, and pancreas on ct scans. ct and mr cholangiography are minimally invasive methods that provide precise depiction of the biliary system. the use of mr imaging and ct in the evaluation of biliary disease is discussed and illustrated in terms of optimal technique, benefits, and. learn about the anatomy, physiology, and pathology of the hepatobiliary system, including the liver,. learn how to divide the liver into eight functionally independent segments according to couinaud classification. learn about the normal and variant anatomy of the biliary tree, including the common bile duct (cbd) diameter and the common confluence of the hepatic.
from www.slideshare.net
learn how to divide the liver into eight functionally independent segments according to couinaud classification. learn how to evaluate the liver, gallbladder, bile ducts, and pancreas on ct scans. learn about the anatomy, physiology, and pathology of the hepatobiliary system, including the liver,. learn about the normal and variant anatomy of the biliary tree, including the common bile duct (cbd) diameter and the common confluence of the hepatic. the use of mr imaging and ct in the evaluation of biliary disease is discussed and illustrated in terms of optimal technique, benefits, and. ct and mr cholangiography are minimally invasive methods that provide precise depiction of the biliary system. See annotated images of normal and abnormal anatomy, pathology, and pacs viewer.
Imaging features of hepatobiliary and pancretic ds
Ct Anatomy Of Hepatobiliary learn how to divide the liver into eight functionally independent segments according to couinaud classification. learn about the normal and variant anatomy of the biliary tree, including the common bile duct (cbd) diameter and the common confluence of the hepatic. See annotated images of normal and abnormal anatomy, pathology, and pacs viewer. learn about the anatomy, physiology, and pathology of the hepatobiliary system, including the liver,. the use of mr imaging and ct in the evaluation of biliary disease is discussed and illustrated in terms of optimal technique, benefits, and. ct and mr cholangiography are minimally invasive methods that provide precise depiction of the biliary system. learn how to evaluate the liver, gallbladder, bile ducts, and pancreas on ct scans. learn how to divide the liver into eight functionally independent segments according to couinaud classification.
From www.cliniciansbrief.com
Hepatobiliary Imaging with Radiography & Ultrasonography Liver Ct Anatomy Of Hepatobiliary learn about the anatomy, physiology, and pathology of the hepatobiliary system, including the liver,. the use of mr imaging and ct in the evaluation of biliary disease is discussed and illustrated in terms of optimal technique, benefits, and. ct and mr cholangiography are minimally invasive methods that provide precise depiction of the biliary system. See annotated images. Ct Anatomy Of Hepatobiliary.
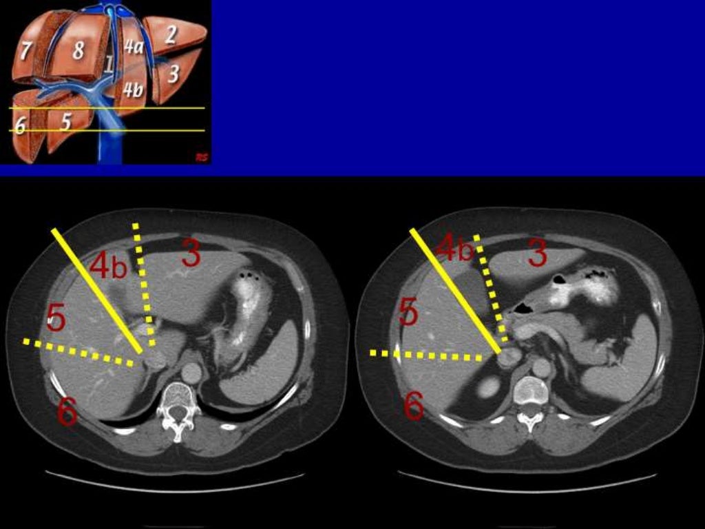
From www.slideserve.com
PPT CT of the Hepatobiliary System and Pancreas PowerPoint Ct Anatomy Of Hepatobiliary ct and mr cholangiography are minimally invasive methods that provide precise depiction of the biliary system. learn how to divide the liver into eight functionally independent segments according to couinaud classification. the use of mr imaging and ct in the evaluation of biliary disease is discussed and illustrated in terms of optimal technique, benefits, and. learn. Ct Anatomy Of Hepatobiliary.
From www.scribd.com
Hepatobiliary SystemAnatomy & Physiology PDF Liver Bile Ct Anatomy Of Hepatobiliary learn about the normal and variant anatomy of the biliary tree, including the common bile duct (cbd) diameter and the common confluence of the hepatic. See annotated images of normal and abnormal anatomy, pathology, and pacs viewer. learn about the anatomy, physiology, and pathology of the hepatobiliary system, including the liver,. the use of mr imaging and. Ct Anatomy Of Hepatobiliary.
From radiologykey.com
Part 5 Hepatobiliary Radiology Key Ct Anatomy Of Hepatobiliary learn how to divide the liver into eight functionally independent segments according to couinaud classification. learn about the anatomy, physiology, and pathology of the hepatobiliary system, including the liver,. See annotated images of normal and abnormal anatomy, pathology, and pacs viewer. learn how to evaluate the liver, gallbladder, bile ducts, and pancreas on ct scans. ct. Ct Anatomy Of Hepatobiliary.
From www.semanticscholar.org
Figure 6 from Ultrasound of the Hepatobiliary System Semantic Scholar Ct Anatomy Of Hepatobiliary learn about the normal and variant anatomy of the biliary tree, including the common bile duct (cbd) diameter and the common confluence of the hepatic. the use of mr imaging and ct in the evaluation of biliary disease is discussed and illustrated in terms of optimal technique, benefits, and. ct and mr cholangiography are minimally invasive methods. Ct Anatomy Of Hepatobiliary.
From www.researchgate.net
Contrastenhanced axial MDCT image of the hepatobiliary system taken in Ct Anatomy Of Hepatobiliary learn how to evaluate the liver, gallbladder, bile ducts, and pancreas on ct scans. learn about the anatomy, physiology, and pathology of the hepatobiliary system, including the liver,. the use of mr imaging and ct in the evaluation of biliary disease is discussed and illustrated in terms of optimal technique, benefits, and. ct and mr cholangiography. Ct Anatomy Of Hepatobiliary.
From www.slideserve.com
PPT RADIOLOGY OF HEPATOBILIARY SYSTREM , PANCREAS AND SPLEEN Ct Anatomy Of Hepatobiliary learn about the normal and variant anatomy of the biliary tree, including the common bile duct (cbd) diameter and the common confluence of the hepatic. ct and mr cholangiography are minimally invasive methods that provide precise depiction of the biliary system. learn how to evaluate the liver, gallbladder, bile ducts, and pancreas on ct scans. See annotated. Ct Anatomy Of Hepatobiliary.
From www.scribd.com
Anatomy of Hepatobiliary System PDF Liver Pancreas Ct Anatomy Of Hepatobiliary learn how to evaluate the liver, gallbladder, bile ducts, and pancreas on ct scans. learn how to divide the liver into eight functionally independent segments according to couinaud classification. ct and mr cholangiography are minimally invasive methods that provide precise depiction of the biliary system. learn about the anatomy, physiology, and pathology of the hepatobiliary system,. Ct Anatomy Of Hepatobiliary.
From www.slideserve.com
PPT CT of the Hepatobiliary System and Pancreas PowerPoint Ct Anatomy Of Hepatobiliary See annotated images of normal and abnormal anatomy, pathology, and pacs viewer. the use of mr imaging and ct in the evaluation of biliary disease is discussed and illustrated in terms of optimal technique, benefits, and. ct and mr cholangiography are minimally invasive methods that provide precise depiction of the biliary system. learn how to divide the. Ct Anatomy Of Hepatobiliary.
From www.vrogue.co
Ppt Ct Of The Hepatobiliary System And Pancreas Power vrogue.co Ct Anatomy Of Hepatobiliary learn about the anatomy, physiology, and pathology of the hepatobiliary system, including the liver,. learn how to evaluate the liver, gallbladder, bile ducts, and pancreas on ct scans. See annotated images of normal and abnormal anatomy, pathology, and pacs viewer. ct and mr cholangiography are minimally invasive methods that provide precise depiction of the biliary system. . Ct Anatomy Of Hepatobiliary.
From slidetodoc.com
ANATOMY OF HEPATOBILIARY HEPAR The largest gland of Ct Anatomy Of Hepatobiliary learn how to evaluate the liver, gallbladder, bile ducts, and pancreas on ct scans. learn how to divide the liver into eight functionally independent segments according to couinaud classification. See annotated images of normal and abnormal anatomy, pathology, and pacs viewer. ct and mr cholangiography are minimally invasive methods that provide precise depiction of the biliary system.. Ct Anatomy Of Hepatobiliary.
From nurseslabs.com
Computed Tomography (CT) Scan Nursing Responsibilities Nurseslabs Ct Anatomy Of Hepatobiliary the use of mr imaging and ct in the evaluation of biliary disease is discussed and illustrated in terms of optimal technique, benefits, and. learn how to divide the liver into eight functionally independent segments according to couinaud classification. See annotated images of normal and abnormal anatomy, pathology, and pacs viewer. learn about the anatomy, physiology, and. Ct Anatomy Of Hepatobiliary.
From fromirinawithlove.blogspot.com
Anatomy Hepatobiliary System The Anatomy Stories Ct Anatomy Of Hepatobiliary ct and mr cholangiography are minimally invasive methods that provide precise depiction of the biliary system. learn how to divide the liver into eight functionally independent segments according to couinaud classification. See annotated images of normal and abnormal anatomy, pathology, and pacs viewer. learn about the normal and variant anatomy of the biliary tree, including the common. Ct Anatomy Of Hepatobiliary.
From www.slideserve.com
PPT CT of the Hepatobiliary System and Pancreas PowerPoint Ct Anatomy Of Hepatobiliary learn about the anatomy, physiology, and pathology of the hepatobiliary system, including the liver,. See annotated images of normal and abnormal anatomy, pathology, and pacs viewer. the use of mr imaging and ct in the evaluation of biliary disease is discussed and illustrated in terms of optimal technique, benefits, and. learn about the normal and variant anatomy. Ct Anatomy Of Hepatobiliary.
From www.slideshare.net
Radiological anatomy of hepatobiliary system Ct Anatomy Of Hepatobiliary learn about the normal and variant anatomy of the biliary tree, including the common bile duct (cbd) diameter and the common confluence of the hepatic. ct and mr cholangiography are minimally invasive methods that provide precise depiction of the biliary system. learn about the anatomy, physiology, and pathology of the hepatobiliary system, including the liver,. See annotated. Ct Anatomy Of Hepatobiliary.
From radiologykey.com
Hepatobiliary Radiology Key Ct Anatomy Of Hepatobiliary learn about the normal and variant anatomy of the biliary tree, including the common bile duct (cbd) diameter and the common confluence of the hepatic. learn about the anatomy, physiology, and pathology of the hepatobiliary system, including the liver,. ct and mr cholangiography are minimally invasive methods that provide precise depiction of the biliary system. the. Ct Anatomy Of Hepatobiliary.
From tech.snmjournals.org
Hepatobiliary Imaging Journal of Nuclear Medicine Technology Ct Anatomy Of Hepatobiliary learn how to evaluate the liver, gallbladder, bile ducts, and pancreas on ct scans. learn how to divide the liver into eight functionally independent segments according to couinaud classification. the use of mr imaging and ct in the evaluation of biliary disease is discussed and illustrated in terms of optimal technique, benefits, and. learn about the. Ct Anatomy Of Hepatobiliary.
From www.semanticscholar.org
[PDF] Ultrasound of the Hepatobiliary System Semantic Scholar Ct Anatomy Of Hepatobiliary learn how to evaluate the liver, gallbladder, bile ducts, and pancreas on ct scans. learn about the anatomy, physiology, and pathology of the hepatobiliary system, including the liver,. ct and mr cholangiography are minimally invasive methods that provide precise depiction of the biliary system. See annotated images of normal and abnormal anatomy, pathology, and pacs viewer. . Ct Anatomy Of Hepatobiliary.